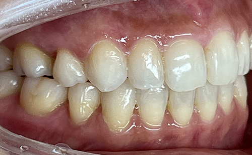
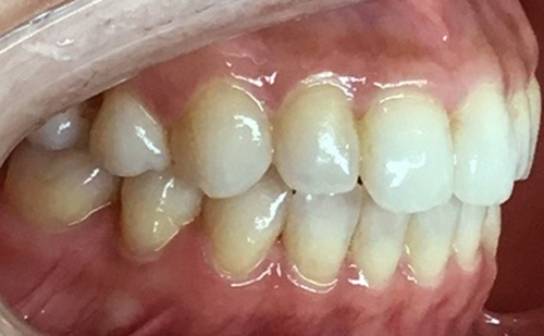
インビザライン症例
全体矯正の症例
| 矯正の期間 | 約3.5ヶ月 |
|---|---|
| 費用 | 737,000円(税込) 別途調整料は5500円(税込)/回 |
| 主訴 | 矯正後の後戻りを治したい。前歯を後ろに下げたい。 |
| 治療の内容 | 下顎前歯部の叢生、臼歯部の捻転、前歯部のオーバジェット、オーバーバイトを改善しました。 |
| リスクや副作用 | 歯並びやかみ合わせが改善しますが、一時的な歯の痛みや発音のしにくさ、口内炎、虫歯・歯周病のリスク増加します。適切な装着とケアが必要です。 |
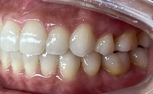
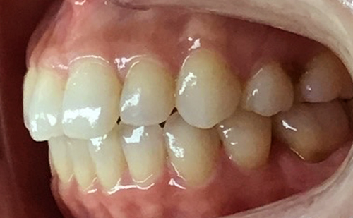
前歯の矯正
インビザラインGOの症例です。治療開始前は前歯のデコボコが目立ちましたが、短期間で前歯が整いました。


